Loading...

Articles

Articles Published in 2024

Articles Published in 2023

The Correction of Malpositioned Teeth and Jaws
(Orthodontics Treatment)

Published in news paper on August 2010 (Arogyavani edition).

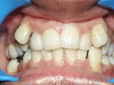
Your child has a beautiful set of teeth as a toddler but as he grows into adolescence you begin to notice an irregular arrangement of teeth. The canine teeth at the corner of the mouth looks especially irregular which looks distasteful.

Your assistant in office has protruding teeth, she is very conscious of it and she often covers her teeth with her hand when she speaks.

Two different problems - In the case of the child irregular arrangement of teeth not only looks unsightly but also makes the cleaning of teeth difficult. In the case of the office assistant the protruding teeth results in a lower self esteem. Both the result of the improper position of teeth or jaws.

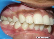
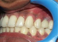
Irregular Teeth
Protruded Teeth

The Solution?

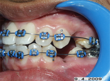
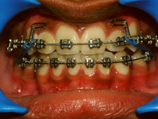
Tooth position can be corrected by Orthodontics, a branch of dentistry in which the teeth are moved into ideal and aesthetic positions using wires, elastics and brackets. The treatment is best done by a specialist who has completed a three years post graduate course in Orthodontics called an orthodontist.

Patient Undergoing Orthodontic Treatment

What is the reason for the irregular position of teeth?

Parents and patients are usually stumped as to why this condition occurs they usually assume that there must be some extra teeth in the mouth which has caused the irregularity. Also sometimes neither of the parents might have the same problem so they are all the more confused regarding the of the root cause of the problems.

Orthodontic problems of improper tooth position usually can have two basic causes genetic / hereditary or environmental. Most Orthodontic problems are hereditary i.e. the genes that the child inherits form its parents determine the size of the teeth and the jaws, any mismatch in the size of the teeth and the jaws to each other or a mismatch in the size of the jaws to each other can result in improper tooth position.

If the teeth size is too large for the jaw in which it is seated in then the teeth will either be irregular in arrangement or will be pushed forward resulting in protrusive teeth. If the lower jaw is much smaller then the upper jaw then the upper teeth will much more forwardly placed in relation to the lower teeth. The jaw size being too large might result in gaps between the teeth.


Why get treated?

Gross Irregularities of the teeth will result in an unsightly appearance. A pleasant appearance and smile go a long way in creating a positive impression on our colleagues, family and society as a whole. Also irregular arrangement of teeth in the arch also results in improper function of the jaw which might lead to joint problems and other pathology. The cleaning and maintenance of teeth also is hindered by the same, improper cleaning of teeth might result in gum problems and decay.


How do we know the nature of the problem?

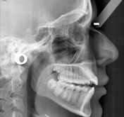
Determining the exact cause of the problem is possible only for a trained orthodontist using patient x-rays, plaster models and photographs. Using these he will analyze the case and will pinpoint the problem and offer a treatment plan to the patient.

Orhodontic Model and X-rays

Will removal of teeth be required for treatment?

In many cases Orthodontic treatment will require the removal of a few teeth. However not all case require extractions some problems of mild irregularity or problems where the patient has a lot of space between the teeth can be managed without removing teeth.

Removal of Teeth for Orthodontic Treatment

How do teeth move in the bone?

When light pressure is applied to a tooth using elastics, flexible wires and springs they move within the bone this is made possible since the teeth have a structure called the periodontal ligament which connects them to the bone. When pressure that is applied to the tooth is transmitted to the bone via the ligament the bone will resorb and the teeth will move in the desired direction.


When is the best age to get treated?

Orthodontic treatment can be performed at any age as long as the teeth and the gums are healthy. The Golden age for Orthodontic treatment is adolescence i.e. 11 to 15 years of age. Tooth movement in adults is slightly slower than in children. However some children require treatment earlier especially if they have deficient jaw growth which can be corrected by growth modulation procedures.


In which conditions can one not get treated?

If the health of the teeth and the gums is not good then treatment cannot be done unless the health improves. Orthodontic tooth movement cannot be done in individuals who have uncontrolled diabetes (if the diabetes is under control then the treatment can be done), Epileptics are not good candidates for Orthodontic treatment since during seizures there are chances that the appliances inside the mouth can be broken. Patients with congenital heart diseases are not good candidates for Orthodontic treatment since during certain procedure they are under the risk of infection.


What are the various procedure carried out in Orthodontics?

The following are some of the procedure carried out in Orthodontics:

Correction of Crowding

Teeth which are irregular can be straightened by Orthodontic treatment which if severe might require removal of teeth.

Correction of Spacing

Gaps between teeth can be closed by Orthodontic treatment. Sometimes if the gaps are because of small teeth then instead of Orthodontic treatment the teeth size is made larger by using tooth colored material or crowns.

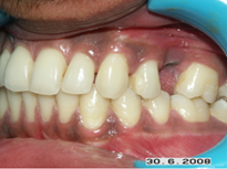
Gaps Between Teeth

Correction of Proclination

If the teeth are forwardly placed without gaps between them they can be retracted by Orthodontics after removal of certain teeth.

Serial extraction

Sometimes in growing children by doing certain analysis it can be predicted that once the permanent dentition erupts will be severe irregularity of teeth. in such patients it is advisable to remove some milk teeth and some permanent teeth early so that the developing permanent teeth erupt into good occlusion. This procedure of removing certain milk teeth and permanent teeth early is called Serial extraction.

Habit breaking

Certain habits such as sucking on the thumb and breathing through the mouth can result in tooth irregularity such habits must be discouraged in children in whom such habits are very strong the orthodontist has methods to break the habits and correct the result of the habits.

Correction of jaw positions during growth

In growing patients if the lower jaw is small in size or backwardly placed then the position of the lower jaw can be improved using certain removable appliances called Functional appliances. Not all patients are suited for this kind of treatment, case selection is important.

Again in growing patients sometimes the growth of jaws if improper can be restricted or encouraged using certain orthopedic appliances, which are metal frameworks from which elastics are engaged.

Appliances to correct jaw realtions

Pre prosthetic treatment

The replacement of teeth which are missing due to extraction or other reasons require some Orthodontic treatment to align the remaining teeth so that the replacement teeth can be favorable placed.

Replacement of Teeth made possible due to Orthodontic Treatment

Pre surgical Orthodontics

Severe Orthodontic problems with a mismatch of jaw sizes which cannot be treated by Orthodontics alone require surgical intervention. The surgery done to correct the jaw position. This is done only after all growth in the patient has ceased.


The final word…

The number of patients undergoing Orthodontic treatment has increased in the last few years. Enhanced facial appearance will contribute to better self esteem. The institution of Orthodontic treatment at the right age and in the right patients can result in enhanced appearance and health of the patient’s teeth and facial appearance and a lifelong benefit.


Contact us

Mangalore Orthodontic
Study Group

Mangalore Orthodontic Study Group
Medicare Building, Karangalpady, Mangalore – 575003

For any Queries Contact
Dr. Mithun. K : +91 99023 55948
Dr. Chaitra Laxmi : +91 87625 26415
Dr. Shravan Shetty : +91 74111 97827