Loading...

Case Studies

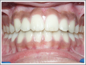
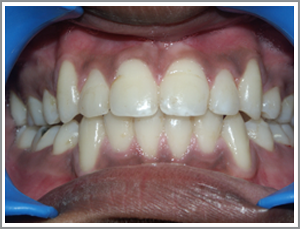
Case 1

Before
After

ABC a 16 year old girl had a deep bite and upper teeth which were inclined backwards and irregular
( Angles Class 1 malocclusion )

Problem list : unsightly teeth and damage to the gums due to the deep bite.

Treatment plan : Non extraction - She was treated without removal of teeth by pushing the teeth out slightly (proclining ).

Treatment time : 12 months


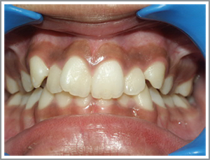
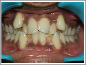
Case 2

Before
After

JKL a 15 year old boy had severe crowding of teeth (Angles class I malocclusion with crowding)

Problem list : unsightly appearance of teeth and recession of the gums due to outward projection of the canines.

Treatment plan : Extraction case - The case was treated with extraction of four first premolars and the alignment of the canines into the extraction spaces. The canines are very rarely extracted. They are usually aligned by extracting premolars since they are crucial for normal functions like biting and also very important for the pleasing appearance of the teeth.

Treatment time : 15 months


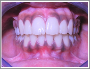
Case 3

Before
After

MNL a 14 year old girl presented with the protrusion of her front teeth. (Angles class I bimaxillary proclination).

Problem list : not able to close lips due to the excessive tooth projection. Lips looking too protrusive when they were closed.

Treatment plan : extraction case – case was treated with the extraction of four first premolars. The front teeth (incisors and canines) were then taken back and the patient had a pleasing appearance and could close her lips.

Treatment time : 20 months


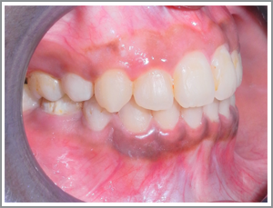
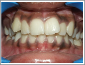
Case 4

Before
After

XYZ a 14 year old girl presented with the mild protrusion of her front teeth and mild irregularity. (Angles class I mildbimaxillaryproclination and mild crowding)

Problem list : Teeth had a poor appearance due to irregularity.Lips looking too protrusive when they were closed.

Treatment plan : extraction case – case was treated with the extraction of four first premolars. The front teeth (incisors and canines) were then taken back and aligned the patient had a pleasing appearance and her lips were less protrusive.

Treatment time : 20 months


Contact us

Mangalore Orthodontic
Study Group

Mangalore Orthodontic Study Group
Medicare Building, Karangalpady, Mangalore – 575003

For any Queries Contact
Dr. Mithun. K : +91 99023 55948
Dr. Chaitra Laxmi : +91 87625 26415
Dr. Shravan Shetty : +91 74111 97827